1: セントーン(茸)@無断転載は禁止 2016/06/15(水) 21:17:46.09 ID:yVcWnd070 BE:562256607-PLT(25242) ポイント特典
誰の家にもきっとある文房具の“のり”。
のりには液体タイプや固形タイプ、スプレータイプなどさまざまなものがあるが、
中国のある男性は自身の肛門に“液体のり”を容器ごと挿入。
抜けなくなり、病院に駆けつけるハメになったという。
中国メディア・成都商報によると、四川省の男性(37歳)は6月1日20時ごろ、成都肛腸専科医院の急診室に駆け込んだ。
男性は当初、詳細を語ろうとはしなかったそうだが、
どうやら自身の肛門に異物が詰まってしまったようで、「取り除いて欲しい」とのこと。
医師が調べてみると、確かに男性の肛門内には異物があり、
男性の話からそれが円柱形の容器に入れられた液体のりであることも判明した。
しかし、のりはすでに男性の体内奥深くにまで侵入し、容器も滑りやすい素材で容易には引き抜けない状況。
とは言え、開腹手術となると患者の身体だけでなく、
経済的な負担も増すため、結局医師は男性に全身麻酔をかけ、
肛門から引き抜く方法を選択。
医師3人が40分近くかけ、慎重に引き抜いていったそうだ。
のりの容器は長さ15センチ、直径5センチほどの大きさだった。
幸いなのは、容器が破損しておらず、のりが体内に漏れ出さなかったこと。
男性は肛門に挿入する前に容器の蓋をしっかり閉めていたそうで、そのことがプラスに働いたようだ。 
http://www.narinari.com/Nd/20160638159.html
のりには液体タイプや固形タイプ、スプレータイプなどさまざまなものがあるが、
中国のある男性は自身の肛門に“液体のり”を容器ごと挿入。
抜けなくなり、病院に駆けつけるハメになったという。
中国メディア・成都商報によると、四川省の男性(37歳)は6月1日20時ごろ、成都肛腸専科医院の急診室に駆け込んだ。
男性は当初、詳細を語ろうとはしなかったそうだが、
どうやら自身の肛門に異物が詰まってしまったようで、「取り除いて欲しい」とのこと。
医師が調べてみると、確かに男性の肛門内には異物があり、
男性の話からそれが円柱形の容器に入れられた液体のりであることも判明した。
しかし、のりはすでに男性の体内奥深くにまで侵入し、容器も滑りやすい素材で容易には引き抜けない状況。
とは言え、開腹手術となると患者の身体だけでなく、
経済的な負担も増すため、結局医師は男性に全身麻酔をかけ、
肛門から引き抜く方法を選択。
医師3人が40分近くかけ、慎重に引き抜いていったそうだ。
のりの容器は長さ15センチ、直径5センチほどの大きさだった。
幸いなのは、容器が破損しておらず、のりが体内に漏れ出さなかったこと。
男性は肛門に挿入する前に容器の蓋をしっかり閉めていたそうで、そのことがプラスに働いたようだ。 
http://www.narinari.com/Nd/20160638159.html
引用元: ・ケツアナに巨大アラビック糊を突っ込んで抜けなくなった中国人あらわる [無断転載禁止]©2ch.net
6: バックドロップ(禿)@無断転載は禁止 2016/06/15(水) 21:19:35.00 ID:Go4uOKgb0
ノリでやった
22: バズソーキック(庭)@無断転載は禁止 2016/06/15(水) 21:30:28.56 ID:aD+gQ0Eq0
>>6
あーなるほど
あーなるほど
63: トペ コンヒーロ(dion軍)@無断転載は禁止 2016/06/16(木) 00:03:55.56 ID:0k1TH+BH0
>>6はもっと評価されるべき
71: 32文ロケット砲(富山県)@無断転載は禁止 2016/06/16(木) 00:47:20.58 ID:nIDWwa7O0
>>6
なら仕方ないな
なら仕方ないな
11: ダイビングエルボードロップ(catv?)@無断転載は禁止 2016/06/15(水) 21:20:58.82 ID:VODiRcmK0
そのぐらいの太さ入るならアナルフィストで取り出せないのかな
14: アイアンフィンガーフロムヘル(大阪府)@無断転載は禁止 2016/06/15(水) 21:23:09.92 ID:HX72AlS30
韓国のオナニー事案ほどではないが
中国のアナル挿入事案も結構な数あるよね
中国のアナル挿入事案も結構な数あるよね
15: ボ ラギノール(やわらか銀行)@無断転載は禁止 2016/06/15(水) 21:24:20.93 ID:dRnJQq8u0
なぜ出すところに入れる必要があるのか
49: リキラリアット(禿)@無断転載は禁止 2016/06/15(水) 23:01:02.97 ID:UbNzkgKY0
>>15
教えてやるからちょっと来い
教えてやるからちょっと来い
27: ヒップアタック(やわらか銀行)@無断転載は禁止 2016/06/15(水) 21:33:57.57 ID:TYqduKFQ0
大のオトナが3人がかりでオーエスオーエス言いながらケツから異物を引き出してる絵を想像した
28: 毒霧(大阪府)@無断転載は禁止 2016/06/15(水) 21:35:07.13 ID:DAPl+ate0
上級者やな
29: ドラゴンスープレックス(愛知県)@無断転載は禁止 2016/06/15(水) 21:39:04.97 ID:iRBBc4d10
尻の穴からシャンプーボトルが出てくる類の話は珍しくない
そういう奴は大抵は前にもやらかしてる
そういう奴は大抵は前にもやらかしてる
40: 河津落とし(SB-iPhone)@無断転載は禁止 2016/06/15(水) 22:19:26.79 ID:sgOTO+0+0
61: エメラルドフロウジョン(dion軍)@無断転載は禁止 2016/06/16(木) 00:00:10.06 ID:VUZqCedU0
>>40
ホットドッグ屋のマスタード容器みたいなので
もうちょいでかいのがある
ホットドッグ屋のマスタード容器みたいなので
もうちょいでかいのがある
73: 毒霧(チベット自治区)@無断転載は禁止 2016/06/16(木) 01:15:50.98 ID:RefurkUO0
>>40
うちにある
一生かけても使いきれる気がしない
うちにある
一生かけても使いきれる気がしない
85: ラダームーンサルト(北海道)@無断転載は禁止 2016/06/16(木) 15:15:21.07 ID:aXddpkVM0
>>40
もうその手のグッズにしか見えなくなった
もうその手のグッズにしか見えなくなった
102: オリンピック予選スラム(チベット自治区)@無断転載は禁止 2016/06/16(木) 18:35:45.15 ID:0bsABZ3I0
>>40
エネマグラ買うより安上がりだな
エネマグラ買うより安上がりだな
67: スターダストプレス(大阪府)@無断転載は禁止 2016/06/16(木) 00:32:04.73 ID:OHTxG+rL0
中国はアナルネタ多いね
69: タイガースープレックス(東京都)@無断転載は禁止 2016/06/16(木) 00:41:26.51 ID:3tZAW3uq0
まーた中国か
語尾はアル!じゃなくもうアナル!にしろよ
語尾はアル!じゃなくもうアナル!にしろよ
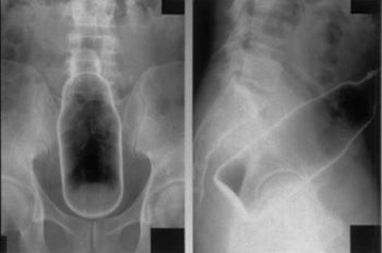
74: ニーリフト(中部地方)@無断転載は禁止 2016/06/16(木) 04:21:59.33 ID:MnVYhLPv0
78: ドラゴンスリーパー(庭)@無断転載は禁止 2016/06/16(木) 10:18:38.99 ID:ZICunWRo0
>>74
右のやつは最適だなw
右のやつは最適だなw
94: クロイツラス(dion軍)@無断転載は禁止 2016/06/16(木) 16:00:22.21 ID:kR8dxIdx0
ズッキーニ入れて取れなくなってところを娘に見つかって、
「これは中国古来の自殺法でいまお父さんは自殺しようとしてる」と言い訳して
なんとか切り抜けた中国人もいたな
日本では「変わった自殺法だな~」ってテイストで報道されてた
「これは中国古来の自殺法でいまお父さんは自殺しようとしてる」と言い訳して
なんとか切り抜けた中国人もいたな
日本では「変わった自殺法だな~」ってテイストで報道されてた
98: フェイスロック(空)@無断転載は禁止 2016/06/16(木) 16:08:08.59 ID:z/rA2CNR0
99: 雪崩式ブレーンバスター(北海道)@無断転載は禁止 2016/06/16(木) 16:22:08.42 ID:Q0C/xgqW0
いや別に中国のお家芸でもない
世界中の変態がこうしてよく担ぎ込まれる、もちろん日本でも
世界中の変態がこうしてよく担ぎ込まれる、もちろん日本でも
100: ドラゴンスクリュー(愛知県)@無断転載は禁止 2016/06/16(木) 18:14:44.68 ID:pIk0azHR0
>>99
しかも常習者が多い
診たら既に手術痕があったとか割と聞く
しかも常習者が多い
診たら既に手術痕があったとか割と聞く
101: 目潰し(東日本)@無断転載は禁止 2016/06/16(木) 18:24:37.17 ID:5dxhXp5Z0
>>100
なんでディルドー使わないですか
なんでディルドー使わないですか
107: ニーリフト(東京都)@無断転載は禁止 2016/06/16(木) 19:11:50.29 ID:45luKXMB0
ケツになんか突っ込んで取れなくなった場合と
穴の開いたものにチンコ突っ込んで抜けなくなった場合の対処法は
救急外来の教科書にページを割いて記載されている
穴の開いたものにチンコ突っ込んで抜けなくなった場合の対処法は
救急外来の教科書にページを割いて記載されている










コメント
コメントする